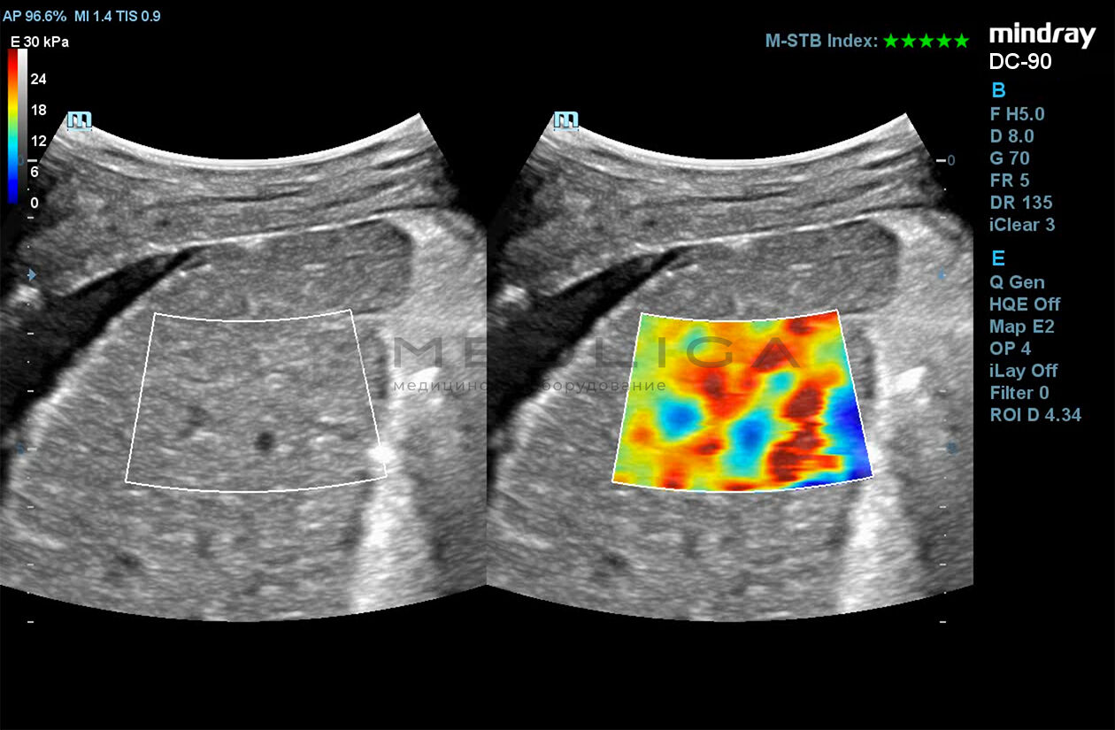
STE (Sound Touch Elastography)
STE интегрирована с эксклюзивной технологией Ultra-Wide Beam Tracking от Mindray для двумерной эластографии сдвиговой волной в реальном времени. Специализированные измерительные инструменты позволяют проводить количественный анализ модуля упругости с высокой точностью.
Опция работает:
- на линейных датчиках
- на конвексных датчиках
Области медицинского применения в основном определяются типом датчиков, работающих с ультразвуковым прибором и наличием специализированных режимов работы.
УЗИ аппараты общей визуализации предназначены для широкого спектра исследований, оперативной диагностики и повсеместно применяются в кабинетах ультразвуковой диагностики.
Для эхокардиографии используются секторные фазированные датчики и дополнительные допплеровские режимы с целью исследования сердечной деятельности.
В гинекологии применяются специализированные программы и датчики, позволяющие качественно провести внутриполостные исследования.
В ветеринарии используются портативные или стационарные ультразвуковые системы для животных с использованием, как правило, конвексного/микроконвексного датчика, секторного фазированного и линейного.
- Общая визуализация