Дата публикации: 10.02.2020
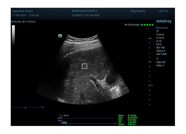
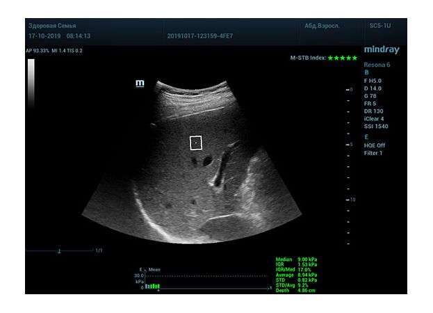
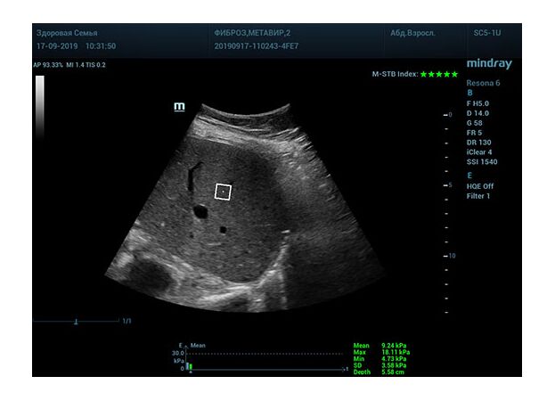
Датчик посылает ультразвуковую волну способную сжать участок паренхимы печени. В момент расправления тканей органа после сжатия, происходит образование поперечные волн. Для их регистрации, следом за волной сжатия, посылается регистрирующая волна, которая улавливает изменения скорости. Закономерность изменения скорости позволяет использовать модуль Юнга для оценки плотности ткани. Таким образом мы получаем аналог FibroScana’а, который упоминается в рекомендациях по диагностике и лечению жировой болезни печени, фиброза и цирроза. Разница в том, что теперь не нужно приобретать отдельный прибор. Все уже есть в ультразвуковой системе. Быстрее, дешевле, доступнее. Так же исчез пугающий пациента эффект «удара» типичный для фиброскана. Методика, в отличии от биопсии, не инвазивная и может применяться даже у детей.
Определение плотности печени. Не ошибся ли оператор при измерении эластических свойств печени? Для оценки критериев качества предусмотрен индекс MBT, который покажет насколько «твердой» была рука оператора и двигалась ли печень. При MBT 5* рука тверда и показатели достоверны. Для оценки качества результатов используется IQR индекс, отображающий колебания показателей в точке измерения при расчете медианы. Показатели при IQR <30% считаются приемлемыми. Техника сканирования через межреберные промежутки требует размещение окна интереса на несколько сантиметром ниже капсулы, для исключения эффекта реверберации. Установка ROI на паренхиму без захвата сосудов, для исключения погрешностей измерения.
Стадия фиброза определяется по системе METAVIR Staging, построенной на данных биопсии и сопоставлении с данными эластографии. Своевременная диагностика фиброза, и начало его лечения, залог благоприятного исхода заболевания.
8 лет лидерства (2017-2024 г.)
* ежегодная аналитика компании Mindray
Сервисный центр удостоен награды Mindray “Gold Service Channel” по итогам 2020, 2022, 2023 и 2024 гг.
Только самое интересное на почту 2 раза в месяц!