Обзор функции УЗИ: HQ Elasto

Дата публикации: 24.08.2020

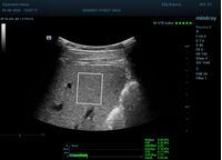
Как работает эластография сдвиговой волны? Датчик посылает плотный пучок ультразвуковых волн в ткани, ткани сжимаются, а затем возвращаются в исходное состояние за счет своей эластичности. Расправление ткани создают поперечные ультразвуковые волны, которые регистрируются трансдьюссером. Прибор во время исследования непрерывно отображает график значений плотности печени (kPa) в исследуемой зоне, достоверным считается график в виде прямой линии. Такая линия формируется путем получения близких по значению показателей. Количественным показателем является отношение межквартального интервала к медиане (IQR/Med). Допустимым считается результат с IQR/Med менее 30%. Чем данный показатель меньше, тем более точным является исследование. Для достоверного исследования в идеале нужно 10 значений.
 
Для получения идеального результата в диагностике фиброза и цирроза печени методом эластографии необходим ряд условий:
  1. - Оптимальное изображение, включающее чистое эхо окно межреберного промежутка и прямое отражение ткани печени.
  2. - Выбор большой зоны опроса, однако без включения туда сосудов печени. Таким образом удастся получить средний показатель при неоднородной, измененной циррозом печени.
  3. - Неподвижная печень. Достигается путем задержки дыхания на выдохе. Выдох позволяет уменьшить давление на печень органами грудной клетки и брюшной полости. Задержка дыхания останавливает её. Критерием качества является индекс M-STB, выраженным в количестве звезд. Прибор определяет его автоматически. 4-5 звезд индекса свидетельствует о неподвижной печени.
Как правило, чем более выражен фиброз, тем сложнее пациенту выполнять команды. С нарушением функции печени развивается энцефалопатия. Для получения 10 значений необходимо минимум 10 секунд. Остановить дыхание, и тем более удерживать выдох более 10 секунд, может быть очень сложно для пациента. Для доктора с такими пациентами работать сложнее всего, ведь печень постоянно норовит сместиться. Индекс M-STB постоянно меняется, результаты так же резко изменяются, график приобретает вид изрезанного, бугристого тренда.
 
Для таких сложных случаев в приборах Mindray Resona предусмотрен режим HQ Elasto. В отличии от стандартной работы эластографии HQ Elasto позволяет собрать отдельное короткое измерение в сборный график. Достаточно задержки дыхания всего в пару секунд, показатель будет записан и добавлен в график измерений. Таким образом, короткими «залпами» ультразвуковых волн по печени доктор без проблем соберет все необходимые 10 значений и проведет автоматический анализ с расчетом медианы и IQR/Med.
 
Приводим видео пример: использованы 3 точки доступа печени, каждое значение графика получено прицельным выстрелом HQ Elasto и собрано в единый тренд. В результате анализа 10 значений получен удивительно точный результат - статистический разброс  3.5 % IQR/Med.
Все статьи Следующая статья
Категории и бренды в статье